現在、このアプリは配信されていません。

類似・関連のアプリを探す

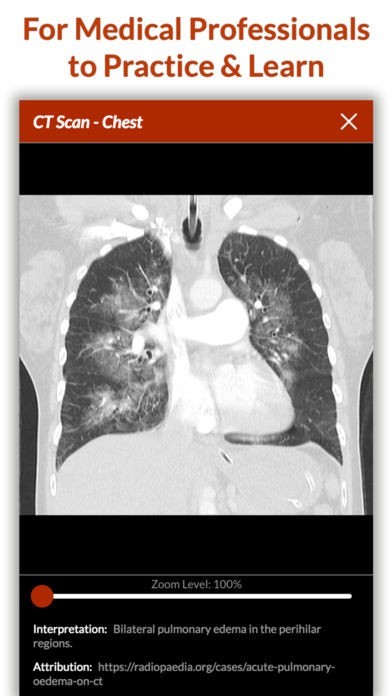
Full Code - Emergency Medicineのスクリーンショット

App Storeより引用

「Full Code - Emergency Medicine」スペック・仕様

開発者
Minerva Medical Simulation, Inc.
リリース
2017年7月26日
サイズ
97.12 MB
価格
無料
ダウンロード

Full Code - Emergency Medicineの順位推移表

順位推移表が見つかりません

オフィシャル・公式情報

App Storeより引用
Full Code will improve your clinical decision-making and patient care through realistic medical simulation. Take on the challenge of complex clinical cases in a virtual emergency room with the highest environmental fidelity. Whether you are an experienced clinician or in the first year of PA school, you will enjoy the challenge of solving Full Code cases!

CLINICAL PRACTICE
Begin by taking a history and performing a physical exam, then click on equipment in the virtual resuscitation bay to order tests and perform interventions. Choose amongst a host of drugs, bedside tests, labs, and imaging to help you narrow the differential diagnosis. Our physiology engine will change the vitals based on your interventions and the patient’s condition just as they would in real life. While you zero in on the final diagnosis and definitively treat the patient you can consult with specialists and nursing staff for assistance, but the patient’s survival rests in your hands.

PERSONALIZED ASSESSMENT
At the end of each case, you receive a score in six core clinical competencies to guide your continuing education. Run through the case as many times as you like to improve your score and hone your resuscitation skills. After each attempt you have the choice of revealing partial answers which can give you valuable insight into the correct diagnosis. By revealing the full case answer you gain access to our detailed debrief notes which walk you through each case’s essential diagnostic and therapeutic interventions required to save the patient. Finally, we provide you with further reading through high-quality relevant web-links and references related to each case.

CASE DESIGN
The Full Code team prioritizes environmental fidelity in every case and we strive to replicate the complexity of managing critically ill patients from presentation to disposition. The medical content of each case is created by our team of emergency physicians lead by James Kimo Takayesu, a Harvard faculty member and ED attending at Massachusetts General Hospital with 15 years of experience training emergency medicine residents. He has received 16 teaching awards in his career for educational innovation and bedside teaching. Each case is peer reviewed twice, and our team continuously updates our clinical content to reflect the best in clinical and educational practice.

FOLLOW FULL CODE
Facebook: https://www.facebook.com/MinervaMedical/
Twitter: @MinervaMedSim
Web: https://full-code.com

臨床補助・医療関係者向けのアプリが気になる方はこちらをチェック

臨床補助・医療関係者向けのアプリ一覧

人気カテゴリ

ストアに接続中...