現在、このアプリは配信されていません。

類似・関連のアプリを探す

編集部のおすすめポイント

  • 肺や内臓をCT画像を基にして勉強するメディカルアプリCT Passport 胸部

  • さまざまな断面図を使って解剖学を一から学ぶ

  • メイン画面で三種類の断面画像を自由に切り替え可能

  • 解剖学見地から人体の胸部について詳しく知る

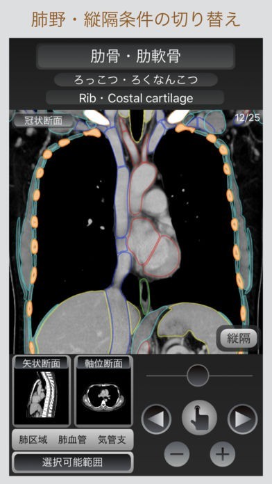
CT Passport 胸部のスクリーンショット

App Storeより引用

CT Passport 胸部の特徴・編集部レビュー

本物のCT写真を使った胸部の解剖学

百枚以上の鮮明なCT診断画像を使用した解剖学解説書です。三パターンの胸部スライス写真で内臓の各部位について学ぶことができます。拡大すればさらに詳細に部位の状態を観察可能です。

部位の連結部分を立体視して把握

隣接する内臓やつながりをいろんな方向からの断面図で確認できるので、頭の中で立体化してイメージすることが可能になります。人体の複雑な構造は臓器と臓器の関連性を把握すると理解が深まるでしょう。

部位の色分けやシームレスな閲覧が理解度を高める

器官ごとに色分け表示ができたり、サブ画面に出ている別の断面図をワンタッチでメイン画面に変えることができます。拡大も自由に行え、知りたいと思うことを簡単に掘り下げることが可能です。

「CT Passport 胸部」スペック・仕様

開発者
Kazuya Takayama
リリース
2018年10月4日
サイズ
102.73 MB
価格
¥1400
ダウンロード

CT Passport 胸部の順位推移表

順位推移表が見つかりません

臨床補助・手助けツールのアプリが気になる方はこちらをチェック

臨床補助・手助けツールのアプリ一覧

人気カテゴリ

ストアに接続中...